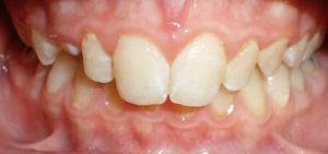
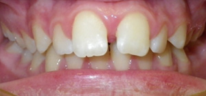
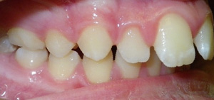
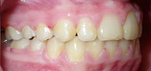
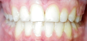
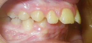
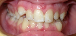
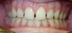
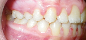
Before and After
Incredible results and inspiring journeys – see some of our patients' before and after photos below.
Individual results may vary.
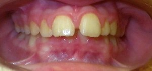
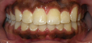
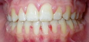
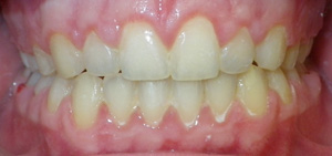
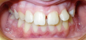
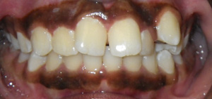
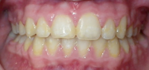
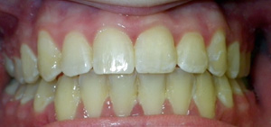
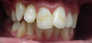
Incredible results and inspiring journeys – see some of our patients' before and after photos below.
Individual results may vary.